"We're So Excited To Be In Orangeville"
Dentist Orangeville, Family, Cosmetic, Kids Dentist
Initial assessments, Scaling, Polishing, In-Office Whitening & Dental Sealants
Helping build healthy smiles for children in Orangeville, Ontario.
In-Office Teeth Whitening and Dental Crowns.
Welcome to Healthy Smile Dental Hygiene - Orangeville
Welcome to Healthy Smile Dental Hygiene Orangeville. We believe in treating everyone like a member of our family. Our Orangeville Dentists and Hygienists are on a mission to create the best possible dental experience for you and your family. We do this by providing services to each individual that will improve their appearance, confidence, and self-esteem. A Healthy Smile is a Happy Smile!
We gauge the extent of our success by the quality of your smile. That success comes from using the highest quality of materials and scientifically backed procedures. We are ready to get your smile in tip-top shape: Whether you need preventive work such as scaling, polish, and whitening or restorative care such as fillings, crowns and bridges we are here to help.
Dental Services
Your oral health is important, that’s we offer the perfect blend of dental services to keep your pearly whites in tip-top shape. Book online or call our Dentist Orangeville Dental Office to book your next appointment.
Awesome staff and amazing service! Feel like a part of the family when you go. Would definitely recommend!
From checking gums to removing plaque and tartar. Our amazing hygienists will get every tooth sparkling clean and protected.
An incredibly effective way of lightening the natural colour of your teeth without removing any of the tooth surface.
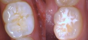
A thin coating that when painted on the chewing surface of the back teeth can prevent cavities for many years.
A fantastic way to repair teeth.
A natural and durable method of replacing a missing tooth.
A common procedure to extract impacted molars.
Boost your confidence with a Smile Makeover from Healthy Smile Dental.
Posted on Ella CarriganTrustindex verifies that the original source of the review is Google. Very clean and pleasant staff.Posted on Isabel Da silvaTrustindex verifies that the original source of the review is Google. Beyond thrilled at my experience today. Dr. Chang and diana made me feel so at ease. Despite being in the dental field myself I do have some uncomfortable feelings when getting any dental work done. The procedure was painless and I at won’t paint was ready to doze off. I am truly impressed.Posted on Dina GTrustindex verifies that the original source of the review is Google. I’ve never been happier at a dental clinic than I am with this one. Everyone here is absolutely incredible — kind, patient, caring, and exceptionally skilled at what they do. I’ve had the pleasure of interacting with Mercedes at the front desk, who even offered to watch my baby while I had a root canal. Dr. Chan and his amazing assistant, Diane, made the procedure so much easier, and the hygienist, Isabelle, is wonderful. For context, I have an extreme phobia of the dentist. I’m in my mid-30s and have spent my entire life hopping from one clinic to another, never finding a place where I felt comfortable. But this clinic changed that. It’s the first place where I genuinely feel at ease. Both my 3- and 4-year-old boys had their first dental appointments here, and they absolutely loved it. The experience was fantastic for them. Plus, I really appreciate that they don’t try to upsell unnecessary services — they’re simply amazing at what they do. I can’t recommend this place enough!Posted on Kerry KaufmanTrustindex verifies that the original source of the review is Google. Very friendly staff, excellent care and appointments were all right on time. I know it sounds crazy but I enjoy going to the dentist. 😃. I just had a crown replacement and I am very happy with the results. Definitely my new family dental office.Posted on Sheliza HaniffTrustindex verifies that the original source of the review is Google. Brought both of my kids here and this was their very first time seeing the dentist. They’re both very scared, but the staff at healthy smiles made them feel so comfortable and confident I’m so happy I chose them and will definitely recommend Them to anyone looking for a dentistPosted on Shannon DundasTrustindex verifies that the original source of the review is Google. The staff are like an extension of my own family. Such a welcoming, relaxing and fun atmosphere!Posted on Nathalie DubeTrustindex verifies that the original source of the review is Google. Absolutely the best team you want for all your dental needs. Funny, caring, professional and knowledgeable. Super friendly and attentive to any discomfort. My daughter was amazed how she didn't feel any pain and she laughed her but off.lol a really positive experience all around. My family loves you guys to a point if we move away we are doing the extra KMS to stay with healthy Smiles Orangeville.Posted on Heather MacNeilTrustindex verifies that the original source of the review is Google. The staff, dental workers, and dentist are all truly wonderful. They clearly explain your care options and provide the best advice when needed. It’s evident that they genuinely care about their patients, which shines through with every visit.Posted on Kelsey HallTrustindex verifies that the original source of the review is Google. Highly recommend this office! Friendly staff, very accommodating and knowledgeable. They make your dental experience very comfortable.Load more
Your Healthy Smile Starts With Healthy Smile Dental - Orangeville, Ontario
Meet the Our Team
Our team at Healthy Smile Dental Orangeville, Ontario is an amazing group of highly trained fantastic personalities. We’re dedicated to making your dental experience as enjoyable as possible. We’ll see you in Orangeville!
Hygiene Team
Shannon, Tram & Isabel
Admin Team
Alana & Stephanie
Dental Team
Dr. Shavandi & Dr. Alavi
Visiting Healthy Smile Dental in Orangeville, you can expect our amazing team in Brampton or Orangeville to provide you and your family with uncompromising excellence in dentistry.
We welcome children and adults of all ages to our offices. For your convenience please complete our Online Appointment Request. Our scheduling coordinator will contact you to confirm your appointment.
Please call your closest location for Emergency Appointments
Orangeville Appointment
Healthy Smile Orangeville
150 First St, Orangeville, ON L9W 3T7
Discover Healthy Smile Dental Hygiene in Orangeville, where the town’s vibrant charm meets our passion for creating picture-perfect grins in a warm and welcoming environment.
Healthy Smile Orangeville Articles

Why Does My Child Have Bad Breath? | Simple Fixes That Actually Work
If you’ve been wondering why your child has bad breath—even after brushing—you’re definitely not alone. It’s one of the most

Why Are My Child’s Gums Bleeding? | Causes & When to See a Dentist
One of the more concerning questions I hear from parents is: “Why are my child’s gums bleeding?” It can definitely

Does My Child Need Sealants? | How Sealants Prevent Cavities Fast
One of the questions I hear often from parents is: “Does my child actually need sealants?” It’s a great question—and

Why Does My Child Grind Their Teeth at Night? | Bruxism Explained for Parents
Why Does My Child Grind Their Teeth at Night? | Bruxism Explained for Parents One of

What Should I Do If My Child Knocks Out a Tooth? Emergency Dentist Instructions
Few moments make a parent’s heart drop faster than seeing blood, tears, and a tooth on the ground. We’ve helped

What If My Child Has Crooked Teeth? Dentist vs. Orthodontist Explained
If you’ve noticed your child’s teeth coming in a little crooked, you’re not alone. We hear this concern from parents